Cardiologie

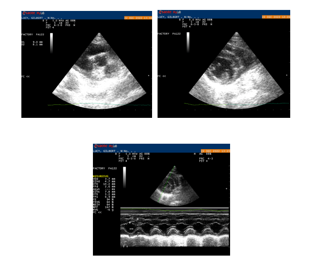
Le Dr Gillier est formée pour effectuer des échocardiographies pour diagnostiquer des maladies cardiaques.
Cette examen complémentaire est conseillé après une suspicion de pathologie cardiaque relevée pendant la consultation, comme un souffle cardiaque, de la fatigue à l’effort ou, dans les cas plus graves, lors de décompensation cardiaque.
Dans certains cas l’examen cardiologique est complété par la mesure de la tension artérielle ou un ECG.
Urgences vétérinaires
La Clinique des Gentianes reçois ces clients même en cas d’URGENCE. Le service est 24h/7j sur RDV et après appel au standard.
Prendre RDV
Le service Pilpoils vous permet de choisir l’horaire et le vétérinaire souhaité même depuis votre portable.